体育游戏app平台 八旬大爷蒸桑拿后双肺变白 接诊后-开云(中国)Kaiyun·官方网站 - 登录入口

“热射病”行为最严重的中暑类型,在夏日相比常见。但在清冷的冬季,尽然也会“中暑”!
生涯在杭州的韩大爷(假名)一到冬天,就可爱到洗沐中心蒸桑拿,一待即是一整天。老东说念主84岁了,患有高血压,家东说念主曾经劝戒过,但韩大爷即是不愿废弃这一大喜爱。
2024年12月底,韩大爷又如往常相似,吃完午饭就去了洗沐中心,刚进去没多久,总计东说念主就口吐白沫,径直昏了往日。旁东说念主迅速拨打120,把他送到了病院。
八旬大爷蒸桑拿后双肺变白
接诊后,大夫们一度怀疑韩大爷有肺栓塞或者脑梗。韩大爷矍铄不清,血压着落、心率也降到30次/分,氧有余度只须80%到90%,急查血气显现pH仅有7.094,二氧化碳分压高达77.4mmHg,有显然的Ⅱ型呼吸枯竭和呼吸性酸中毒,于是立即初始抢救步伐。
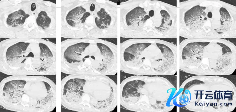
韩大爷插管后被立即送到CT室,进行了头颅、胸部CT和肺血管CTA查验。截止一出来,尽然两肺全白了!
经查验,大夫排除了脑中风和肺栓塞的可能性。流程实时抢救,韩大爷各项查验缱绻有了显然改善,但究竟为何会有这样严重的白肺出现?

病院供图
大冬天竟得了“热射病”
当地病院立即关联了杭州市第一东说念主民病院呼吸内科大夫进行诊断,最终,韩大爷被确诊为热射病诱发的肺水肿。
那么,冬天若何会得热射病呢?
医陌生析,在桑拿房这种高温高湿的环境下,东说念主体皮肤散热会变得极为艰巨,汗液无法闲居排出,就像被“锁”在了体内。这种情况下会导致体内热量多数积蓄,即便在冬天,也总计有可能出现热射病的症状,尤其是有基础疾病的老年东说念主。
热射病发生后,会出现脱水,进而导致血压着落,严重的会对心肌酿成损伤,心功能会受到极大影响,易出现狭小的急性心衰。腹黑的泵血功能一朝出现问题,多数血液就会淤积在肺部血管,激勉肺水肿。
冬季泡澡需顾惜“热休克”
冬天,好多东说念主遴荐泡滚水澡,既不错减弱身心,又简略根除寒意。殊不知,这样一冷一热,很容易导致“热休克”。
大夫暗示,有些东说念主会因温差过大酿成轮回系统背负加多,不仅会诱发脑中风或心血管疾病,严重的还会激勉一忽儿休克。尤其是患有动脉硬化、糖尿病、高血压、痴肥症、高脂血症、高尿酸血症的东说念主,以及乐龄老东说念主等。
大夫教唆,冬季洗澡谨记三点,顾惜热休克:
搁置环境间的温差
在更衣室、走廊、茅厕等嗅觉相比冷的场合,装配微型取暖器,干涉浴室前提前预热体格。
饭后、酒后不要立即洗澡
饭后,血液会皆集到消化器官,血压会稍稍裁减;乙醇具有扩展血管的作用,酒后血压会有所着落。此时在卓著42℃的滚水中泡澡,血压可能会出现一时性的大幅飞腾,导致热休克。因此,提倡饭后或酒后略微休息一会儿再去沐浴。
隆冬洗澡前尽可能奉告身边东说念主
发生热休克的早期可能有头晕、胸闷、胸痛等施展,此时要是身边东说念主能实时发现,不错最猛进程减少不良效果的发生。
着手:潮新闻 钱江晚报 北京日报体育游戏app平台
